

Поняття голлівудської усмішки давно вийшло за межі червоних доріжок і кіноекранів. Сьогодні це не про однакові білі зуби, а про гармонію, природність і відчуття, що усмішка ідеально підходить саме конкретній людині. В Україні сучасна стоматологія дозволяє досягти такого результату на високому рівні, без шаблонних рішень і з урахуванням індивідуальних особливостей пацієнта.
У цій статті ми розповімо, що насправді означає голлівудська усмішка, які методи використовуються для її створення та як проходить цей процес у сучасних клініках України.
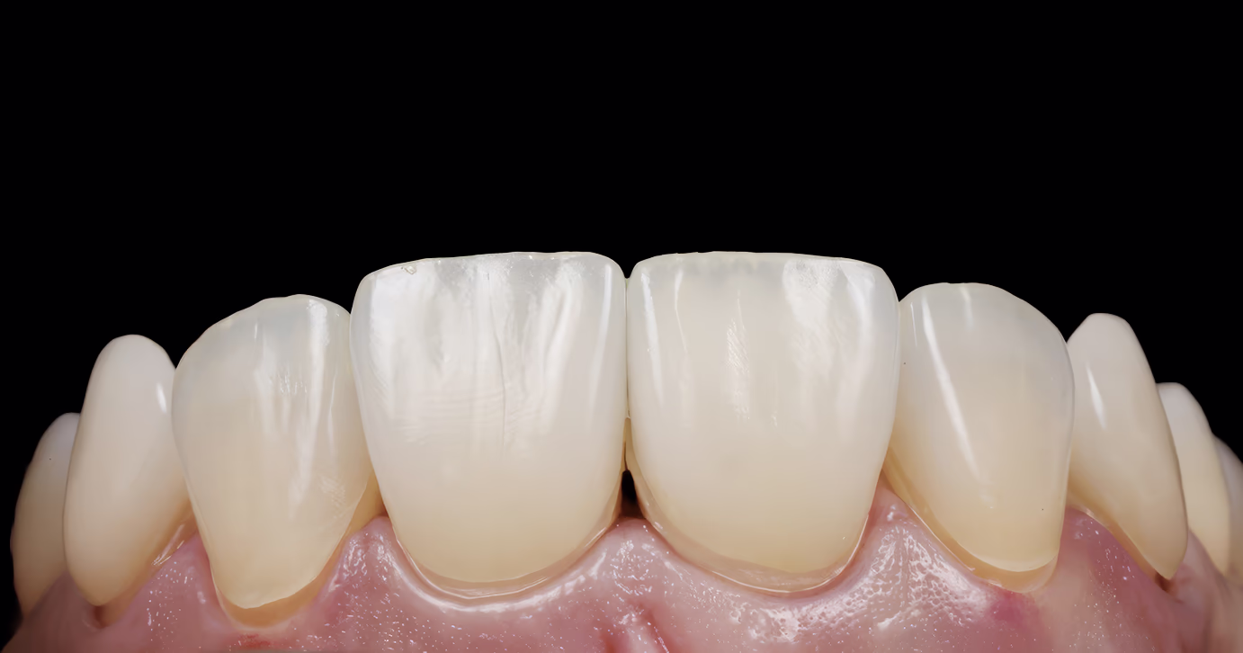
Голлівудська усмішка — це не просто дуже білі зуби. Насамперед це правильні пропорції, симетрія, відповідність рисам обличчя, формі губ і навіть міміці. Така усмішка виглядає доглянутою, але не штучною, і не привертає уваги окремими зубами, а створює загальне відчуття гармонії.
Саме тому універсального шаблону голлівудської усмішки не існує. Те, що ідеально виглядає для однієї людини, може бути зовсім недоречним для іншої.
Сучасні можливості стоматології в Україні дозволяють створювати естетичні рішення рівня провідних світових клінік. Використання якісних матеріалів, цифрового планування та індивідуального підходу робить результат прогнозованим і довготривалим.
Важливу роль відіграє не лише обладнання, а й підхід лікаря. Голлівудська усмішка починається з аналізу обличчя, прикусу та очікувань пацієнта, а не з вибору кольору зубів.
Найчастіше основою голлівудської усмішки стають керамічні вініри. Саме вони дозволяють змінити форму, довжину та колір зубів і досягти бажаної естетики. У деяких випадках створення усмішки починається з ортодонтичного лікування, якщо положення зубів або прикус потребують корекції. Також можуть застосовуватися професійне відбілювання, художня реставрація або коронки, накладки, якщо зуби значно пошкоджені.
Найкращий результат досягається тоді, коли план лікування складається індивідуально.
Все починається з консультації та діагностики. Лікар оцінює стан зубів, ясен, прикус і загальну естетику обличчя.Використовується цифрове моделювання, яке дозволяє побачити майбутній результат ще до початку лікування.
Далі формується поетапний план. Він може включати підготовчі процедури, лікування окремих зубів і фінальний естетичний етап. Пацієнт розуміє, що і навіщо робиться, скільки часу це займе і якого результату можна очікувати.
Це одне з найпоширеніших побоювань. Насправді штучний вигляд зазвичай є наслідком неправильного планування або універсальних рішень без урахування індивідуальності.
Сучасний підхід до естетичної стоматології спрямований на природність. Колір, форма і прозорість зубів підбираються так, щоб усмішка виглядала органічно і відповідала віку та зовнішності пацієнта.
Тривалість лікування залежить від клінічної ситуації на початку лікування. У деяких випадках результат можна отримати за кілька візитів, наприклад, при встановленні вінірів. Якщо ж потрібна ортодонтична корекція або комплексне лікування, процес може зайняти більше часу.
Головне — пацієнт заздалегідь розуміє етапи та строки лікування, а результат не стає несподіванкою.
Голлівудська усмішка в Україні це реальна і досяжна мета, якщо підходити до неї професійно і з урахуванням індивідуальних особливостей. Це не шаблонний набір процедур, а продуманий процес, у центрі якого стоїть людина, її зовнішність і комфорт.
У нашій клініці ми створюємо усмішки, які виглядають природно і гармонійно, поєднуючи сучасні технології, точне планування та естетичне бачення. Саме такий підхід дозволяє досягати результатів, які залишаються актуальними і привабливими протягом багатьох років.