Анжеліка — блондинка з яскравою усмішкою, пацієнтка з керамічними реставраціями.

Анжеліка

Причина звернення:
Пацієнтка звернулась із бажанням вдосконалити усмішку, залишаючись в натуральних тонах за яскравістю.
Стан на момент звернення:
Стертий ріжучий край та дефекти емалі на фронтальних зубах верхньої щелепи.
Темний колір зубів.
Етапи лікування
Етап 1: Відбілювання зубів
Проведено процедуру офісного відбілювання на верхній та нижній щелепах для освітлення зубів.
Процедура офісного відбілювання зубів для освітлення емалі у пацієнтки Анжеліки перед естетичним лікуванням у Sergatiy Dental Clinic
Етап 2: Примірка дизайну майбутньої усмішки
Після фото-відео аналізу виготовлено прототип посмішки.
Примірка майбутньої усмішки без препарування. Форма нових зубів відтворюється з пластмаси — для погодження результату з пацієнтом.
Жінка з сережками, натуральна усмішка – задоволена пацієнтка після реставрації.
Етап 3: Підготовка зубів
Підготовка зубів на верхній щелепі з мінімальним препаруванням.
Отримані цифрові відбитки відправлено в зуботехнічну лабораторію для виготовлення керамічних вінірів.
Стан зубів після мінімального препарування перед встановленням керамічних вінірів — клінічний кейс Анжеліки, Sergatiy Dental Clinic, Київ
Етап 4: Естетична реабілітація
Виготовлення керамічних вінірів.
Ізоляція робочої поверхні за допомогою системи раббердам та фіксація вінірів на верхній щелепі для досягнення бажаного естетичного результату.
Фінальний результат встановлення керамічних вінірів у натуральному відтінку — естетичне покращення усмішки пацієнтки Анжеліки, Sergatiy Dental Clinic
До початку лікування
Усмішка пацієнтки Анжеліки до лікування — нерівний край та тьмяний колір зубів
Фронтальні зуби Анжеліки до встановлення вінірів — стертий ріжучий край та темний колір емал
Жінка зі світлим волоссям, усміхається – приклад клінічного результату до/після.
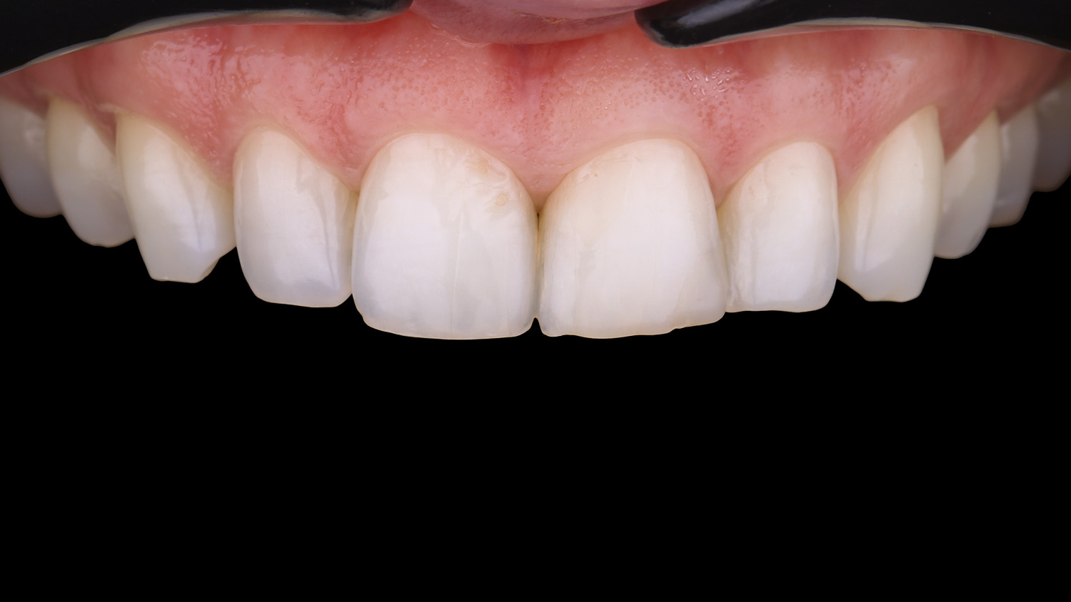
Фінальний результат
Гармонійна усмішка після встановлення вінірів — фінальний результат естетичного лікування у Sergatiy Dental Clinic
Естетична реставрація фронтальних зубів — натуральні керамічні вініри після лікування в Sergatiy Dental Clinic
Фінальний результат лікування усмішки Анжеліки — природні вініри в натуральному відтінку, Sergatiy Dental Clinic, Київ
Історія пацієнта
Інтервʼю
Хочеш таку саму усмішку?
Замовити консультацію
Заповніть форму, щоб наш адміністратор міг зв’язатися з Вами та записати на консультацію.
Ім’я
Номер телефону
Дякуємо! Ми отримали Вашу заявку й незабаром зв’яжемося з Вами.
Упс! Щось пішло не так під час надсилання форми. Спробуйте ще раз.

Інші кейси

Подивитися усі кейси