Пацієнт Віктор після ортодонтичного лікування з рівною усмішкою

Виктор

Причина обращения:
Желание иметь красивую улыбку, наличие щелчка в суставе, неправильный прикус.
Состояние на момент обращения:
Неправильный прикус.
Скученность зубов.
Неоднородный цвет зубов и наличие пятен на эмали.
Этапы лечения
Этап 1: Подготовка к ортодонтическому лечению
Профессиональная гигиена полости рта.
Лечение кариеса.
Функциональная диагностика и планирование ортодонтического лечения.
Рентген-знімок щелепи для діагностики перед ортодонтичним лікуванням
Этап 2: Ортодонтическое лечение
Установка металлической самолигирующей брекет-системы.
Установка ортодонтических микроимплантов.
Использование межчелюстных лигатур.
Зуби пацієнта з металевими брекетами під час ортодонтичного лікування
Этап 3: Отбеливание и завершение лечения
Снятие брекет-системы.
Установка ретейнеров.
Комплексное отбеливание (офисное + домашнее) для устранения неоднородности цвета и пятен на эмали.
Реминерализация эмали.
Процедура відбілювання зубів після зняття брекетів у клініці Sergatiy Dental Clinic
До начала лечения
Посмішка пацієнта до ортодонтичного лікування з нерівними зубами
Фронтальний вигляд зубів до лікування — скупченість і плями на емалі
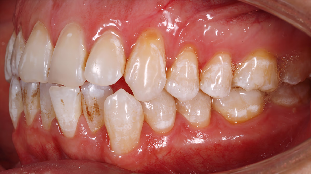
Вигляд зубного ряду збоку зліва до лікування — нерівні зуби, плями на емалі
Вигляд зубного ряду збоку справа до лікування — нерівні зуби, плями на емалі
Портрет пацієнта до початку лікування
Обличчя пацієнта до початку лікування, вид збоку
Финальный результат
Посмішка Віктора після ортодонтичного лікування з рівними білими зубами
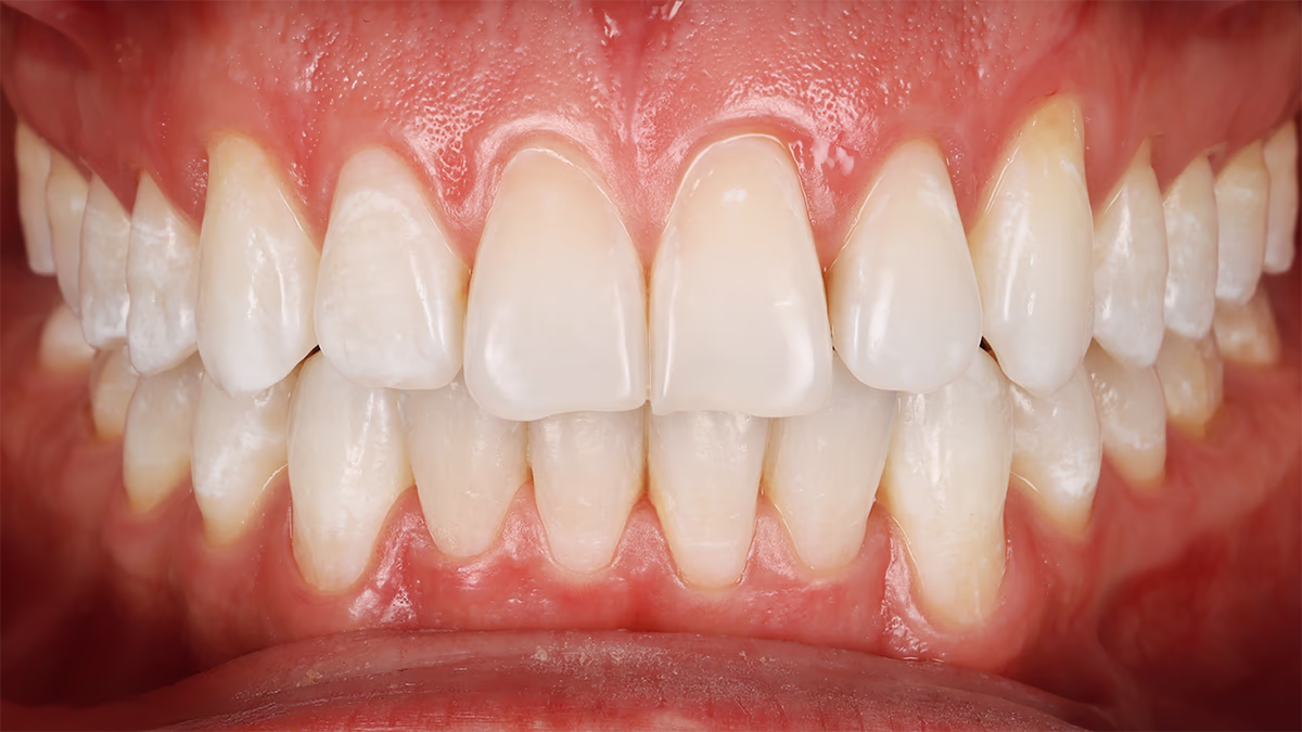
Фронтальний вигляд зубів після лікування — рівні зуби з однорідним кольором емалі
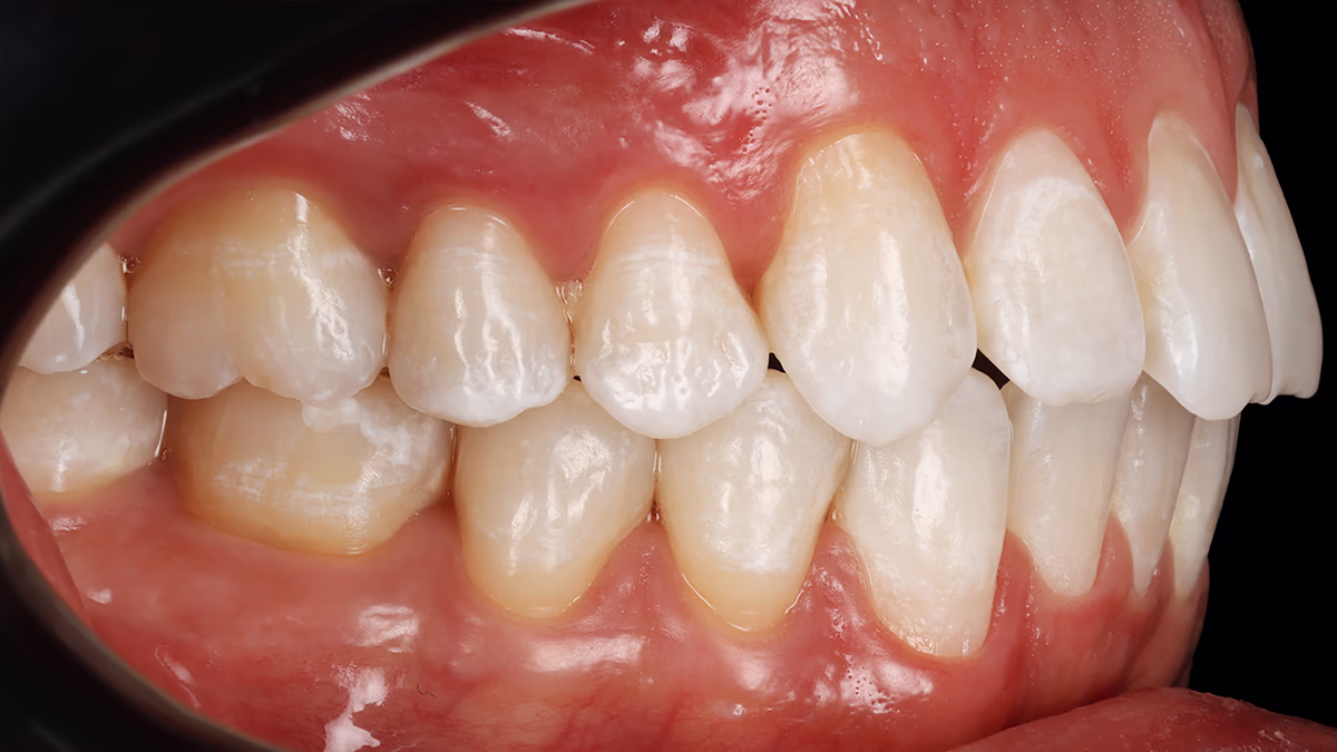
Вигляд зубного ряду збоку зліва після лікування — вирівняні зуби, чиста емаль
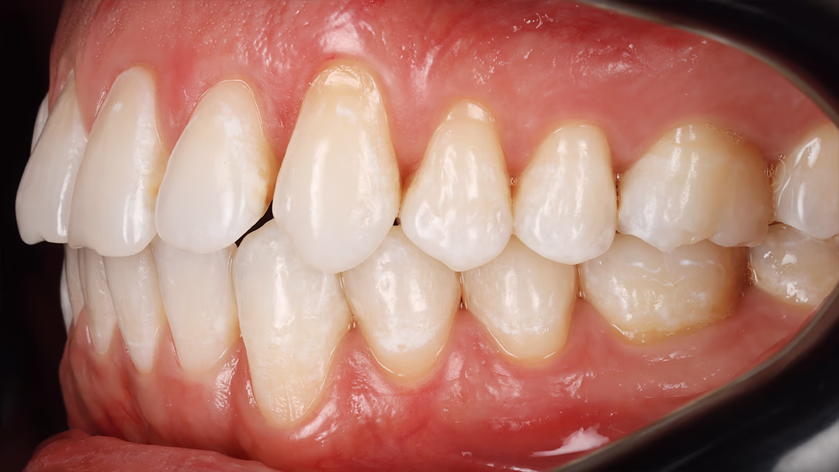
Вигляд зубного ряду збоку справа після лікування — вирівняні зуби, чиста емаль
Обличчя пацієнта після лікування, рівна посмішка та покращений профіль
Обличчя пацієнта після лікування, рівна посмішка та покращений профіль
Отзыв пациента
Хочешь такую ​​же улыбку?
Записаться на консультацию
Заполните форму, чтобы наш администратор мог связаться с вами и записать на консультацию.
Имя
Номер телефона
Спасибо! Ваша заявка принята, и наш администратор свяжется с вами в ближайшее время.
 Упс! Что-то пошло не так при отправке формы. Пожалуйста, попробуйте еще раз.

Другие кейсы

Посмотреть все кейсы