
Виниры — это не только способ улучшить эстетику, но и метод функционального восстановления. Процедуру рекомендуют, если:
При правильном уходе ваши виниры сохранят блеск, цвет и идеальное состояние на протяжении многих лет.
Во время консультации доктор анализирует состояние зубов, проводит сканирование, фото- и видеоанализ, обсуждает с пациентом пожелания относительно формы, цвета и эстетического результата.

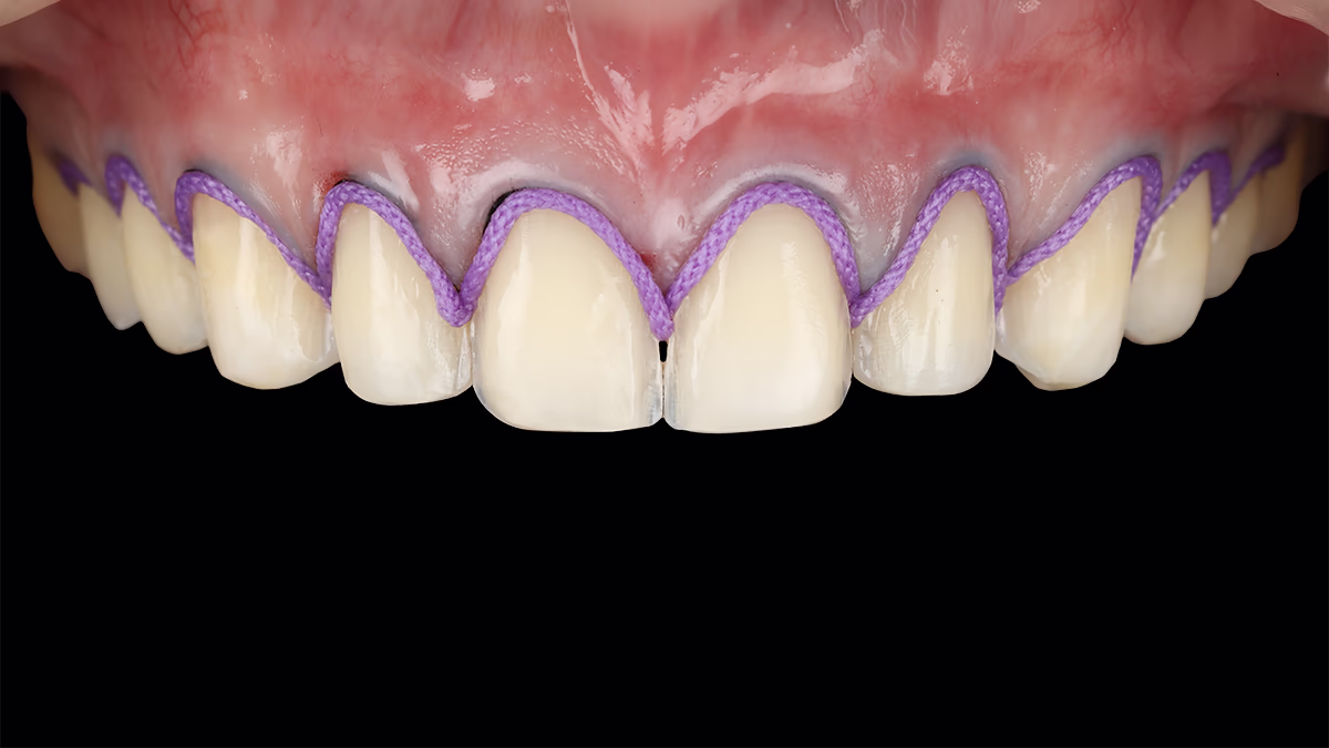
На этом этапе создаётся цифровой проект будущей улыбки, который переносится в ротовую полость с помощью пластмассовой модели. Это позволяет согласовать форму, пропорции и цвет будущих зубов до этапа препарирования.

Благодаря современным технологиям препарирование минимальное, что позволяет максимально сохранить ткани зуба.

Мы устанавливаем временные виниры, чтобы вы могли улыбаться без ограничений в период изготовления постоянных.

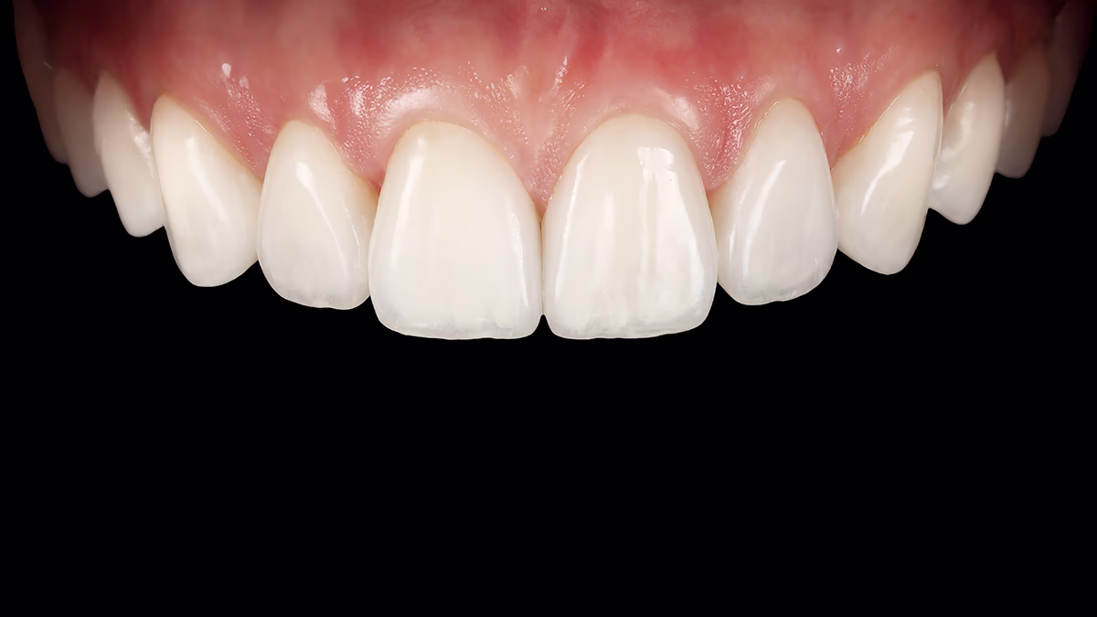
Процедура фиксации постоянных виниров занимает несколько часов, и вы сразу сможете насладиться результатом.


Керамические виниры не требуют особого ухода.
Достаточно соблюдать стандартные рекомендации:
При правильном уходе ваши виниры сохранят блеск, цвет и идеальное состояние на протяжении многих лет.
Керамические виниры обладают естественным блеском, долговечны и со временем не темнеют. Композитные — дешевле, менее прочные, быстро теряют блеск и требуют замены через 3–5 лет.
В большинстве случаев обтачивание минимальное — лишь тонкий слой в пределах эмали, под контролем оптического увеличения.
В Sergatiy Dental Clinic полный процесс занимает до двух недель: от первичной консультации и цифрового планирования до изготовления и фиксации виниров.
Нет, все этапы выполняются под местной анестезией, поэтому пациент не ощущает боли или дискомфорта. По желанию подготовку и установку можно провести под медикаментозным сном.
В среднем от 10 до 15 лет, сохраняя блеск, цвет и идеальный эстетический вид. Регулярная гигиена и профилактические осмотры помогают продлить срок службы.
Да, виниры можно устанавливать в любом возрасте при условии здоровых зубов и дёсен. Возраст не является ограничением. Керамические виниры эффективно помогают восстановить молодость улыбки.
Уход простой: чистите зубы дважды в день, используйте зубную нить, не открывайте зубами упаковки и не кусайте твёрдые предметы. Раз в 4–5 месяцев проходите профессиональную гигиену у стоматолога.
Нет, керамические виниры не поддаются отбеливанию. Цвет виниров остаётся стабильным и не меняется со временем, поэтому оттенок подбирается индивидуально ещё на этапе планирования.
В клинике Sergatiy Dental Clinic стоимость установки керамических виниров начинается от 650 € за единицу. Окончательная стоимость плана лечения рассчитывается индивидуально.
Да, возможно. После анализа лица и улыбки мы индивидуально определяем количество виниров, учитывая пожелания пациента и гармонию улыбки.
В Sergatiy Dental Clinic мы объединяем эстетику, функцию и индивидуальный подход. Используем микроинвазивные методы лечения, современные технологии, цифровое планирование улыбки и сотрудничаем только с ведущими зуботехническими лабораториями. Результат — естественная, гармоничная улыбка, созданная персонально для вас.
Мы гарантируем безопасность, комфорт и результат, который превзойдет ожидания.
