
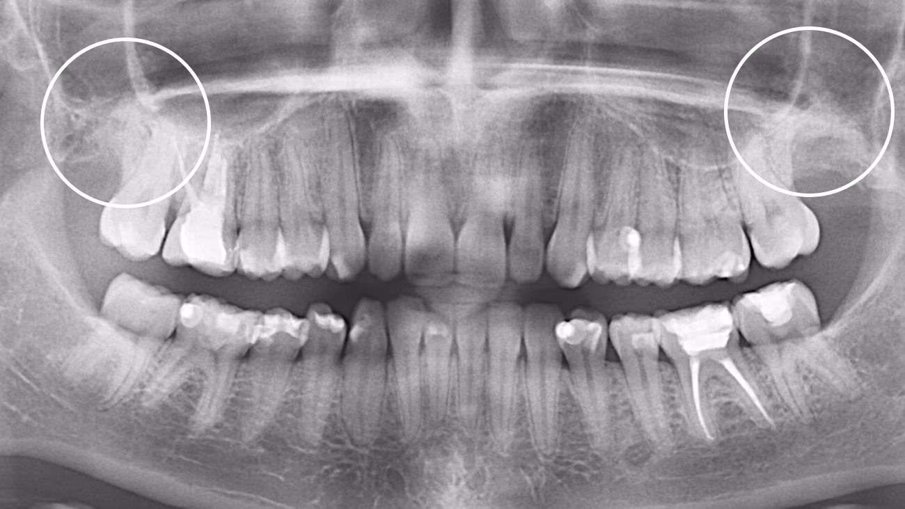
КТ дозволяє визначити:
• положення зуба
• напрямок росту
• особливості коренів
• близькість до нижньощелепного нерва або пазухи

Видалення зуба мудрості проводиться під місцевою анестезією. Пацієнт не відчуває болю.
Для пацієнтів також доступний медикаментозний сон (седація).
Седація рекомендована, якщо ви:
• відчуваєте страх або тривогу перед видаленням зуба мудрості;
• маєте підвищений блювотний рефлекс;
• потребуєте складного чи тривалого хірургічного втручання.

Тривалість видалення зуба мудрості залежить від рівня складності.
Хірург використовує атравматичні техніки та мікрохірургічні інструменти:
• виконує мінімальні розрізи, щоб зменшити пошкодження м’яких тканин і кістки;
• застосовує технологію A-PRF для прискореного загоєння та зменшення набряків;
• атравматично зшиває рану для максимально комфортного відновлення.

Пацієнт отримує контроль стану після операції та чіткі інструкції для відновлення.
Має повний моніторинг загоєння на всіх етапах.
Отримує корекцію рекомендацій у процесі відновлення, якщо це необхідно.

Контрольний візит проводимо через тиждень після видалення: перевіряємо загоєння ділянки втручання та знімаємо шви.
Атмосфера спокійна та передбачувана, що робить процес максимально комфортним.

Ні. Процедура проводиться під місцевою анестезією, тому ви не відчуваєте болю.
Для пацієнтів із підвищеною тривожністю або у складних клінічних випадках ми пропонуємо медикаментозний сон (седацію), під час якого ви повністю розслаблені та не пам’ятаєте операцію.
Після процедури можливий легкий дискомфорт упродовж 1–3 днів, який добре контролюється знеболювальними препаратами.
Тривалість залежить від рівня складності, розташування зуба та його коренів. У простих випадках видалення триває 30–45 хвилин, у складніших може займати годину або більше.
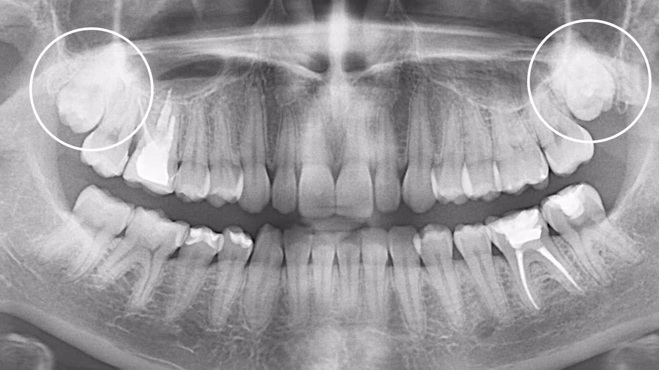
Так. КТ є обов’язковою для точного та безпечного видалення зуба мудрості.
3D-діагностика дозволяє визначити:
• положення зуба
• напрямок росту
• особливості коренів
• близькість до нижньощелепного нерва або верхньощелепної пазухи
У Sergatiy Dental Clinic КТ є обов’язковою перед видаленням зуба мудрості. Без КТ значно підвищуються ризики ускладнень.
Набряк після видалення зуба мудрості — нормальна реакція організму. Його вираженість залежить від рівня складності видалення, обсягу додаткових маніпуляцій (розсічення тканин, робота з кісткою, накладання швів) та індивідуальних особливостей організму.
У більшості пацієнтів набряк або відсутній, або мінімальний і тримається 1–2 дні.
У складніших випадках може зберігатися 1–3 дні та потім поступово зменшується.
Щоб зменшити набряк, рекомендуємо прикладати холод у перші години після операції, уникати гарячої їжі та фізичних навантажень.
Якщо набряк продовжує збільшуватися, супроводжується сильним болем чи підвищеною температурою — потрібно звернутися у клініку.
У першу добу рекомендуються лише рідкі та пюреподібні страви кімнатної температури: бульйони, фруктові та овочеві пюре без твердих частинок, йогурти без добавок.
Обмеження в харчуванні протягом перших днів допомагають запобігти подразненню рани, уникнути потрапляння дрібних частинок їжі та зменшити потребу в активному жуванні, яке може спричинити кровотечу, розходження швів та збільшення набряку.
Рекомендовано уникати твердих, гострих та кислих продуктів.
Повернення до звичного раціону має бути поступовим, орієнтуючись на власні відчуття та рекомендації лікаря. Зазвичай повноцінне харчування можливе через 5–7 днів після операції за умови відсутності болю та набряку.
Залежить від типу швів:
• саморозсмоктувальні - не потребують зняття
• класичні шви - знімають через 5–7 днів
У Sergatiy Dental Clinic лікар сам обирає оптимальний варіант для конкретного випадку.
Так.
Багато пацієнтів обирають видалення 4 “вісімок” під седацією за один візит, щоб уникнути кількох операцій і перідов відновлення.
Це безпечно та комфортно.
Легкі фізичні навантаження зазвичай дозволені вже через 2–3 дні.
Активний спорт, біг, силові тренування або тренажерний зал рекомендується відкласти на 5–7 днів, щоб уникнути кровотечі та набряку.
Після складного видалення період відновлення може тривати до 7–10 днів.
Головне — орієнтуватися на свій стан і дотримуватися рекомендацій лікаря.
Видалення зубів мудрості під час вагітності можливе, але виконується лише за показами — коли є гострий біль, набряк та ризик ускладнень.
Найбільш безпечний період для стоматологічних втручань — другий триместр.
У першому — небажано, у третьому — некомфортно та може бути ризик підвищеного тонусу.
Сучасне знеболення, дозволене для вагітних, не шкодить плоду.
Планові, не термінові видалення краще перенести на післяпологовий період.
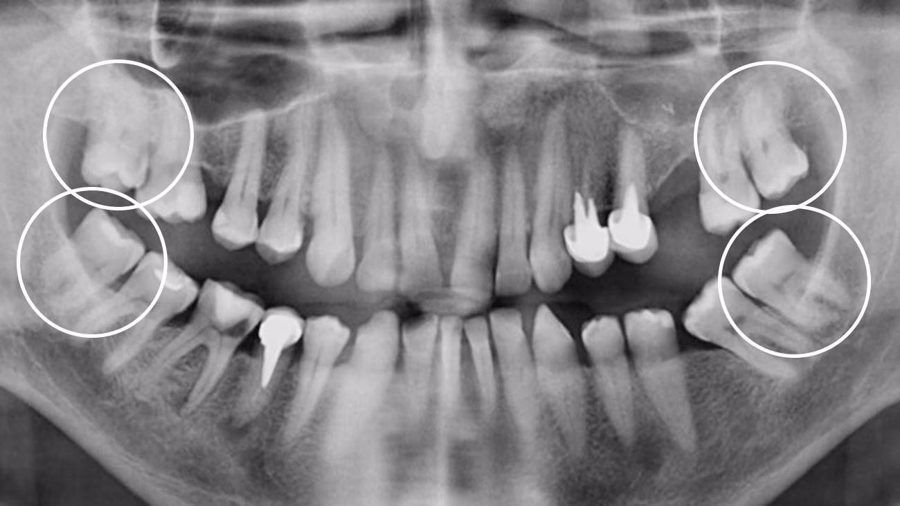
Так, у багатьох випадках видалення рекомендують навіть за відсутності болю. Ризики можуть виникати без симптомів:
• зуб росте під кутом або частково залишається в яснах
• він тисне на сусідній зуб і може зміщувати прикус
• у ділянці зуба накопичується їжа, що викликає запалення ясен і карієс
Чистити зуби можна вже наступного дня після хірургічного втручання.
Робити це потрібно дуже обережно, уникаючи ділянки видалення, щоб не травмувати лунку.
Використовуйте м’яку зубну щітку — за потреби можна обрати спеціальну післяопераційну.
Інтенсивні полоскання заборонені, щоб не порушити формування лунки та не вимити кров’яний згусток.
Починаючи з другого дня, лікар може призначити ротові ванночки з антисептичними розчинами — без різких рухів та спльовувань.
Прийміть знеболювальний препарат, який призначений лікарем або входить у ваш медикаментозний супровід.
Якщо він не допомагає, допускається заміна на інший рекомендований засіб.
Якщо біль не вщухає або посилюється — обов’язково зв’яжіться з клінікою.
Тому що клініка створює умови для:
• Видалення будь-якої складності без болю
• Медикаментозний сон за призначенням
• Лікарів із досвідом
• Стерильні умови
• Мінімальну травматичність та швидке загоєння
• Детальні інструкції та постійну комунікацію з лікарем
• Індивідуальний післяопераційний супровід
Sergatiy Dental Clinic — це поєднання професійного досвіду, комфорту та бездоганного сервісу.
