


Анамнез.
Пацієнт М., 35 років, звернувся зі скаргами на незадовільний зовнішній вигляд переднього зуба. Його прохання – покращити зовнішній вигляд із мінімальним втручанням.
Об'єктивно.
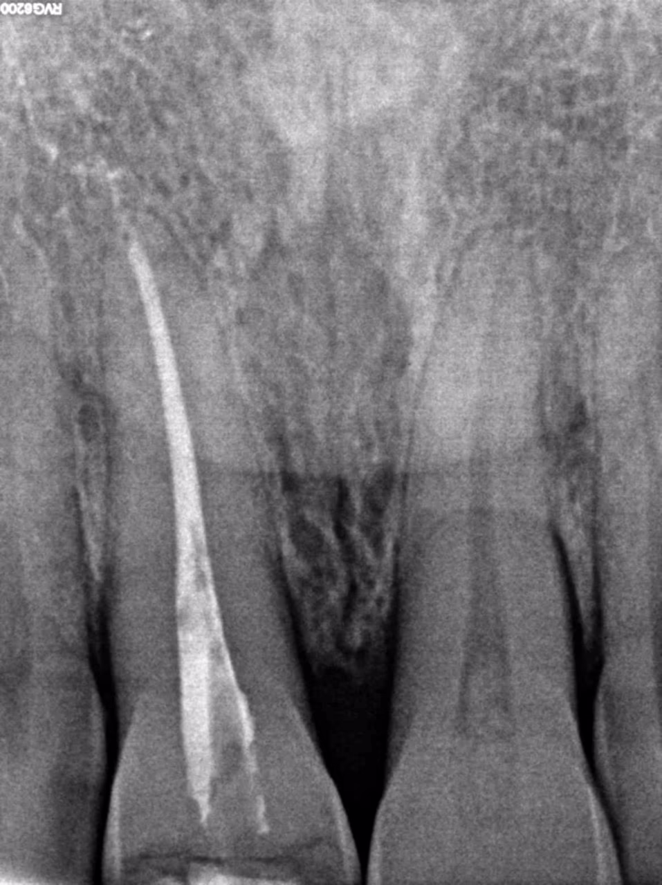
Зуб 11 із раніше виконаною композитною реставрацією. В анамнезі – ендодонтичне лікування понад 5 років тому. Зуб відновлений із застосуванням скловолоконної штифто вої конструкції та композиту.
За даними КТ: кореневий канал обтурований гомогенно до апекса, ознак апікальних змін немає. Одиничну кишеню не виявлено. Стан тканин пародонта – у межах норми.
Варіанти відновлення зуба 11:
Ідеальної техніки чи універсального матеріалу для відновлення не існує. Успіх лікування визначається знаннями та мануальними навичками стоматолога.



Реабілітація пацієнтів в естетично значущій зоні потребує особливої точності та уваги до деталей. До них належать підбір кольору та яскравості, форма реставрації і стан м’яких тканин.
З метою максимального збереження інтактних тканин вирішено робити втручання лише в межах одного центрального різця 11. Таке завдання складніше для лікаря та зубного техніка, проте дозволяє досягти необхідного естетичного результату при мінімальному обсязі втручання.
Під час відновлення одного зуба ключовим фактором успіху є точна та гармонійна оптична інтеграція реставрації у природний зубний ряд.
Для реалізації цього завдання було використано протокол визначення кольору eLAB, розроблений німецьким зубним техніком Sascha Hein, членом групи Bio-Emulation.
Протокол eLAB – це стандартизована система цифрового підбору кольору зубів, розроблена для підвищення точності та відтворюваності у роботі з керамічними реставраціями.
Обладнання, яке я використовував для роботи з eLAB:

Кожен колір описується трьома координатами (LAB):
На першому етапі лікування було зроблено внутрішньоротове фото зубів з поляризаційним фільтром та сірою картою як початкове значення клінічної ситуації.

Це той рідкісний випадок, коли ми можемо по чати працювати без попереднього воскового моделювання (Wax-Up) та перенесення Mock-Up у ротову порожнину для узгодження з пацієнтом.
У цьому клінічному випадку слід скопіювати і віддзеркалити сусідній зуб 21, щоб забезпечити гармонійну інтеграцію за формою в зубний ряд.
За допомогою А-силікону був виготовлений ключ у ротовій порожнині для виготовлення тим часової реставрації прямим методом до початку препарування.
Під час препарування сусідні зуби були захищені металевою матрицею.
Вестибулярне маркування глибини препарування твердих тканин, а також редукція ріжучого краю робилися за допомогою маркувального бора (Komet 868В 314020). Зафарбовування вестибулярної поверхні зуба олівцем посилює контраст між препарованими та непрепарованими ділянками зуба і полегшує роботу. Горизонтальні борозни залишаються зафарбованими до досягнення бажаної глибини препарування. Проте остаточну глибину препарування твердих тканин зуба у цьому випадку продиктувала композитна реставрація.

Фінішну лінію на зубі 11 потрібно залишити на тканинах зуба, тому висікався весь композит. Дизайн реставрації – 3/4 коронка. У такому разі упор, що утворюється при препаруванні з пала тинального боку, забезпечує правильне позиціо нування при фіксації реставрації.
Препарування зуба провадилося за допомогою операційного мікроскопа. Створювався не обхідний простір для керамічної реставрації на рівні м'яких тканин.
Після закінчення першої фази препарування алмазними борами Komet (крупнозернистими) була зроблена ретракція однією ниткою без просочення 000, яка забезпечує вертикальну ретракцію. Далі за допомогою полірувальних алмазних борів (з червоним маркуванням) ми змістили вестибулярну фінішну лінію апікальніше, до нового рівня зеніту. Це дозволяє сховати і зробити плавний перехід зуб – кераміка.



Для передачі меж препарування в лабораторію було обрано метод ретракції за допомогою ретракційних ниток.
Перша нитка забезпечила вертикальну ретракцію, а друга нитка з просоченням (Sure-Cord 0, експозиція 5 хвилин) забезпечила горизонтальну ретракцію. Встановлювали другу нитку безпосередньо перед зняттям відбитків перфорованою металевою ложкою та А-силіконом (DGM, Honigum Pro), попередньо промазавши ложку адгезивом для ложок (Panasil Haftlack).
Адгезив між полівініл-силановим базовим відбитковим матеріалом та перфорованою ложкою забезпечує відсутність деформації на відбитках.
Перед фіксацією тимчасової реставрації на зуб 11 зробили фото обробленої кукси зуба з поляризаційним фільтром і сірою картою. Це додаткова інформація для зубного техніка про стан та колір кукси зуба.

Для надійної фіксації тимчасової реставрації було проведено точкове протравлювання та бондинг без попередньої полімеризації.
Наступним етапом було створення тимчасової конструкції прямим методом та перенесення за допомогою силіконового ключа та самотвердіючої пластмаси бісакрил (DMG Luxatemp).
Після вилучення силіконового ключа надлишки пластмаси в приясенній зоні були скориговані скальпелем.
На зубі 11 з тимчасовою реставрацією було зроблено полімеризацію адгезиву протягом 20 секунд.
Відбитки та фото RAW формату передали в зуботехнічну лабораторію для виготовлення керамічної реставрації.
У цьому випадку для відновлення зуба 11 був обраний матеріал літій-дисилікат з пошаровим нанесенням кераміки на вестибулярну по верхню.
Перевагою протоколу eLab є віртуальна примірка та порівняння готової керамічної реставрації зуба 11 і сусіднього зуба 21.
Цифрова примірка за протоко лом eLAB дозволяє зубному техніку проводити оцінку майбутньої ΔE, що відображає різницю між кольором натурального зуба 21 та виготовленої керамічної реcтаврації зуба 11.
ΔE (Delta E) – це числовий показник колірної відмінності в системі LAB: чим менше його значення, тим ближчий відтінок керамічної реставрації до натурального зуба.
Практичне значення ΔE*:

Віртуальна примірка в зуботехнічній лабораторії показала значення ΔE 1,21. Відмінність практично непомітна неозброєним оком. У клінічній практиці вважається ідеальним результатом.

Під час наступного візиту пацієнта в клініку робимо примірку та фіксацію керамічної рестарації зуба 11.
Першим кроком було зняття тимчасової реставрації зуба 11 і полірування кукси від залишків адгезиву.
Примірка постійної реставрації на суху по верхню (Dry Fit) дає змогу контролювати точність прилягання конструкції.
Переконавшись, що керамічна реставрація задовольняє естетичний запит пацієнта та стоматолога, можна братися до адгезивної фіксації.
Очищення керамічної реставрації було зроблене повітряно-абразивним методом з використанням оксиду алюмінію 27 мкм, що ефективно видаляє забруднення після внутрішньоротової примірки і створює мікрошорсткість поверхні, збільшуючи площу адгезії.
Динамічне протрав лювання реставрації з літій-дисилікату плавико вою кислотою 4.5 % протягом 20 с.
Експозиція етилового спирту 96 % на поверхні кераміки 30 с для очищення від залишків плавикової кислоти.
Силанізація поверхні кераміки за допомогою Monobond Plus (Ivoclar) для створення внутрішнього зв'язку між реставрацією та фіксуючим матеріалом.
На силанізовану поверхню кераміки було внесено адгезив системи ClearFil SE Bond 2 (Kuraray), експозиція 20 с, потім надлишки прибрані повітрям.
Внесення фіксуючого композиту Variolink Esthetic LC.
Для запобігання затвердінню композитного цементу реставрації помістили у помаранчевий світлозахисний бокс.
Сусідні зуби були захищені тефлоном.
Також було зроблено повітряно-абразивну підготовку кукси зуба 11 порошком оксиду алюмінію 27 мкм.
Динамічне протравлювання зуба протягом 30 с. Адгезивна підготовка здійснювалася си темою ClearFil SE Bond 2 (Kuraray).
Надлишки фіксуючого матеріалу прибрали пензликом з вестибулярної поверхні та провели полімеризацію реставрації.
Для видалення над лишків цементу в апроксимальних контактах використовували флос.
Після фіксації реставрації зробили контрольні фотографії з використанням поляризаційного фільтра та без нього.





Протокол eLAB став ключовим інструментом для досягнення точної колірної відповідності та бездоганної естетики. Чітка цифрова передача даних та злагоджена робота лікаря і зубного техніка дозволяють передбачувано інтегрувати окрему керамічну реставрацію в зубний ряд та відтворювати гармонію усмішки навіть у найскладніших клінічних випадках.