


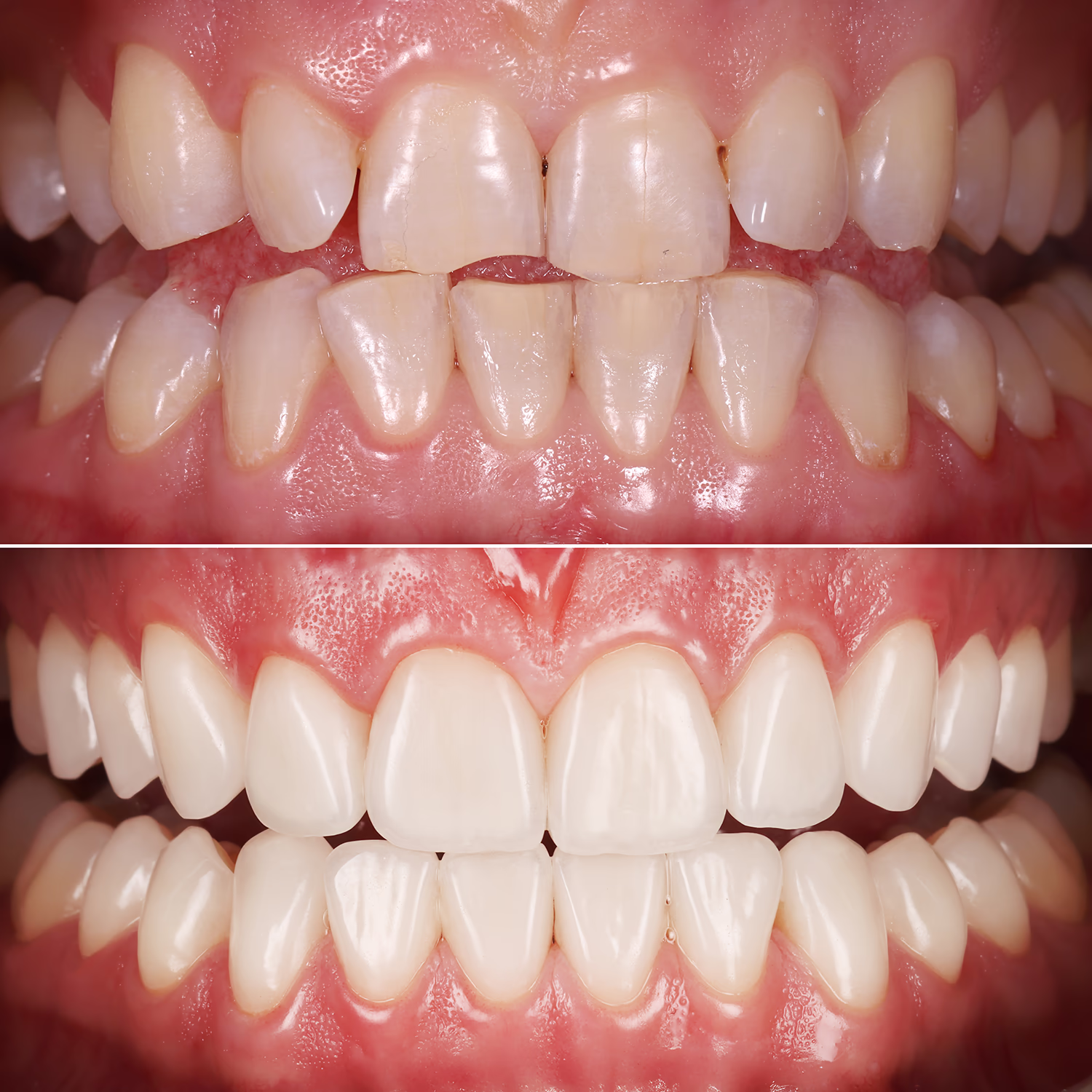
Анамнез. Пацієнтка А., 38 років, звернулася в клініку з проханням покращити зовнішній вигляд зубів на верхній і нижній щелепі.
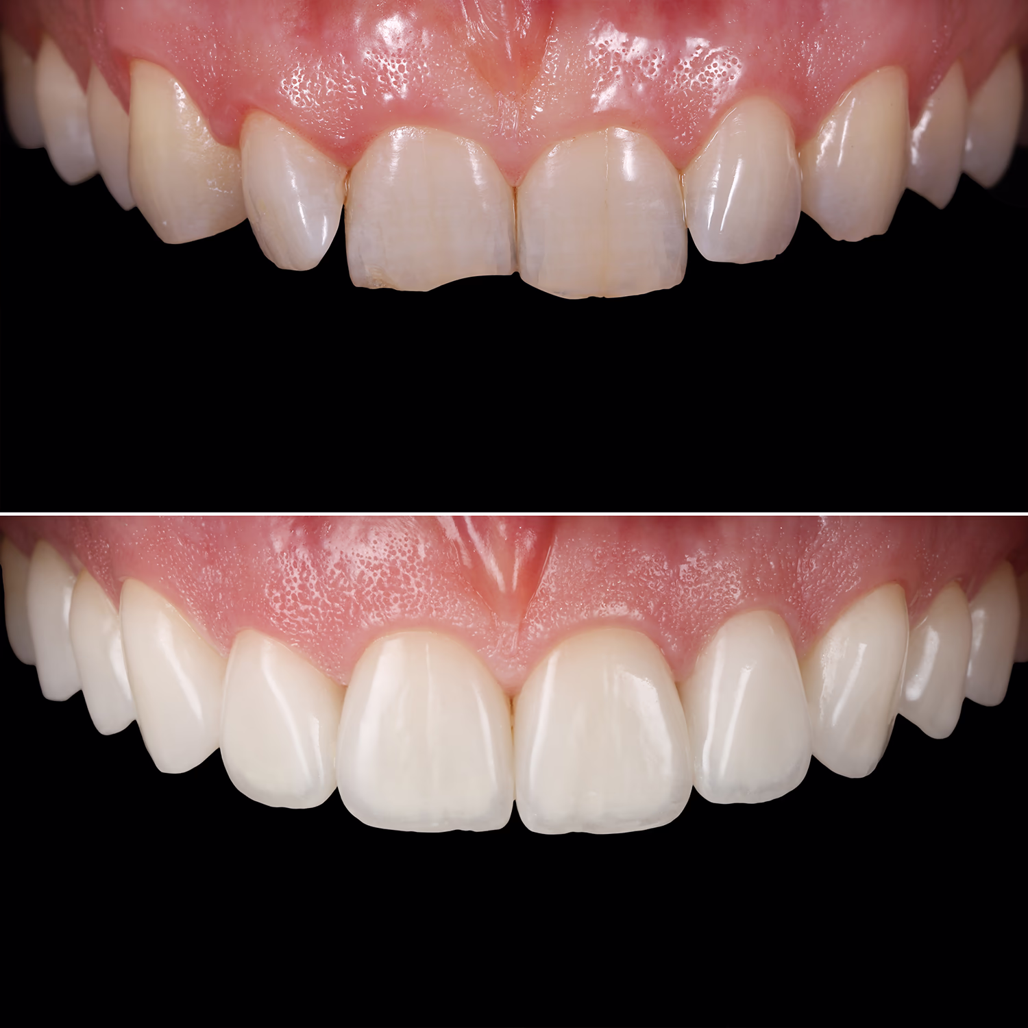
Об’єктивно. Порушення ріжучих країв передніх зубів на верхній і нижній щелепі. Скупченість зубів. Зміщення центральної лінії верхньої щелепи вліво на 0.5 мм. Ротація зуба 12. Ретронаклон (негативний торк) зубів 11 та 21. Перекриття передньої групи зубів на 2/3.
Внаслідок стирання зубів є порушення при бічних рухах нижньої щелепи:
– при латеротрузії вправо
– групове введення, а також контакти на фронтальних зубах;
– при латеротрузії вліво – контакти на передніх зубах.
Також є порушення при протрузійних рухах. На молярах і премолярах верхньої та нижньої щелепи є старі композитні реставрації за класами І і ІІ.
Варіанти відновлення цілісності структури зубів:
1. Композитні реставрації (прямим способом).
2. Керамічні реставрації (непрямим способом).
Початкова ситуація не дозволяє з мінімально інвазивним підходом досягти стабільного довгострокового результату. У цьому випадку не обхідно було б препарувати зуби в 360° під повні коронки для нормалізації оклюзії та есте тики, відтак втрата твердих зубних тканин була б суттєвою.


Цей клінічний випадок потребує ортодонтич ного лікування перед естетичною реабілітацією.
Варіанти ортодонтичного лікування:
– брекет-системою;
– елайнерами.
Через високі естетичні вимоги після діагно стичного етапу було обрано лікування на елай нерах. Тривалість лікування – 18 місяців.
Після закінчення ортодонтичного лікування були встановлені незнімні ретейнери на верхню і нижню щелепу.
На молярах і премолярах потрібно було замінити старі композитні реставрації класів І і ІІ.
Завершальним етапом лікування була запланована естетична реабілітація за допомогою керамічних вінірів, 10 на верхній щелепі і 10 на нижній.
Після фото-відеоаналізу обличчя та усмішки пацієнта було визначено:
– лінія усмішки середня;
– видимість верхніх зубів – 80 %, видимість нижніх зубів – 30 %;
– видимість двох центральних різців у стані спокою – 3.5 мм;
– ширина усмішки – 10–12 зубів;
– щічні коридори нормальні.
На підставі даних зуботехнічна лабораторія виготовила Wax-Up (воскову репродукцію майбутньої усмішки).
Під час планування прототипу майбутньої усмішки звернули увагу на потребу корекції зенітів для гармонійних пропорцій зубів. У зубо технічній лабораторії був виготовлений відразу шаблон корекції м’яких тканин у зоні зубів 11, 12, 21, 22.
Зеніти у цьому шаблоні повторювали новий дизайн майбутніх зубів. Корекцію по м’яких тканинах зробили в межах 1–1.5 мм за допомо гою плазма-ножа без відкидання клаптя та остеотомії.





Після корекції зенітів на зубах 11, 12, 21, 22 потрібен час для стабілізації м’яких тканин та формування нової біологічної ширини.
Через 4 тижні взялися до наступного етапу, за допомогою А силікону віддублювали Wax-Up з надрукованих моделей, створивши силіконовий ключ для перенесення на верхню і нижню щелепу.
Через незначну ротацію зубів 12 і 22, а також через положення зубів 41, 42, 32, не було можливості розмістити силіконовий ключ у ротовій порожнині коректно без деформацій. Перед перенесенням Mock-Up потрібно попереднє при шліфовування зубів 12, 22, 41, 42, 32 у межах емалі. Під інфільтраційною анестезією, орієнтуючись на проєкт, було зроблене вільне пришліфовування.


Далі за допомогою самотвердіючої пластмаси бісакрил та силіконового ключа перенесли макет майбутніх зубів (Моск-Up) на зуби верхньої і нижньої щелепи.

За допомогою маркувального бору (Komet 868В 314018) здійснили вестибулярне маркування глибини препарування, а також редукцію ріжучого краю. Редукція ріжучого краю на 1 мм дозволяє зубному техніку створювати оптичні ефекти, а також приховати межу переходу зуба в кераміку.

Далі знімаємо Mock-Up – на зубах залишилися горизонтальні сліди, зафарбовані олівцем.
Зафарбовування вестибулярної поверхні зуба олівцем посилює контраст між препарованими та непрепарованими ділянками зуба.

Горизонтальні борозенки залишаються за фарбованими до досягнення бажаної глибини препарування.
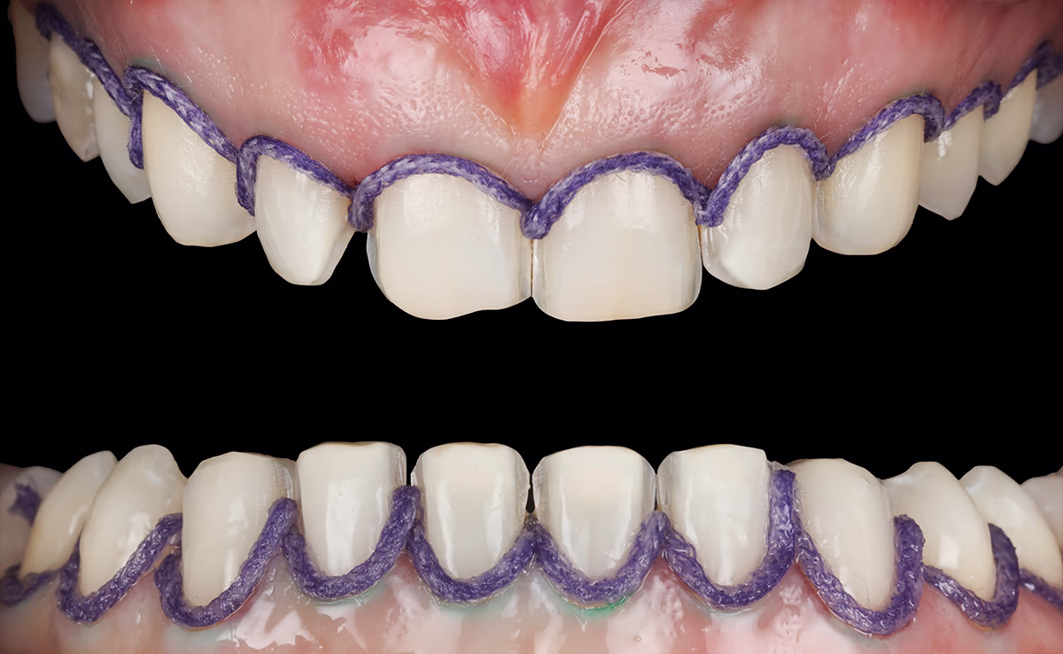
Планувалися постійні реставрації BL3, тому препарування проводилося з ретракційною ниткою 000 (Sure Cord) у зубоясенній борозні. Це дозволило апікальніше змістити м’які тканини і тим самим уникнути різкого переходу яскравості керамічної реставрації і зуба.
Зуби були відпрепаровані в межах емалі у вигляді закінченого вініра з редукцією ріжучого краю.

Перед скануванням встановили другу нитку із просоченням Sure-Cord 0 (експозиція 5 хвилин). Це забезпечило горизонтальну ретракцію та легкий доступ до країв препарування під час сканування.

Ми не можемо відпустити пацієнта без тимчасової реабілітації, наше завдання – забезпечити його тимчасовими реставраціями на період виготовлення постійних керамічних вінірів.
Метод фіксації тимчасових реставрацій завжди залежатиме від фінального дизайну препарування.
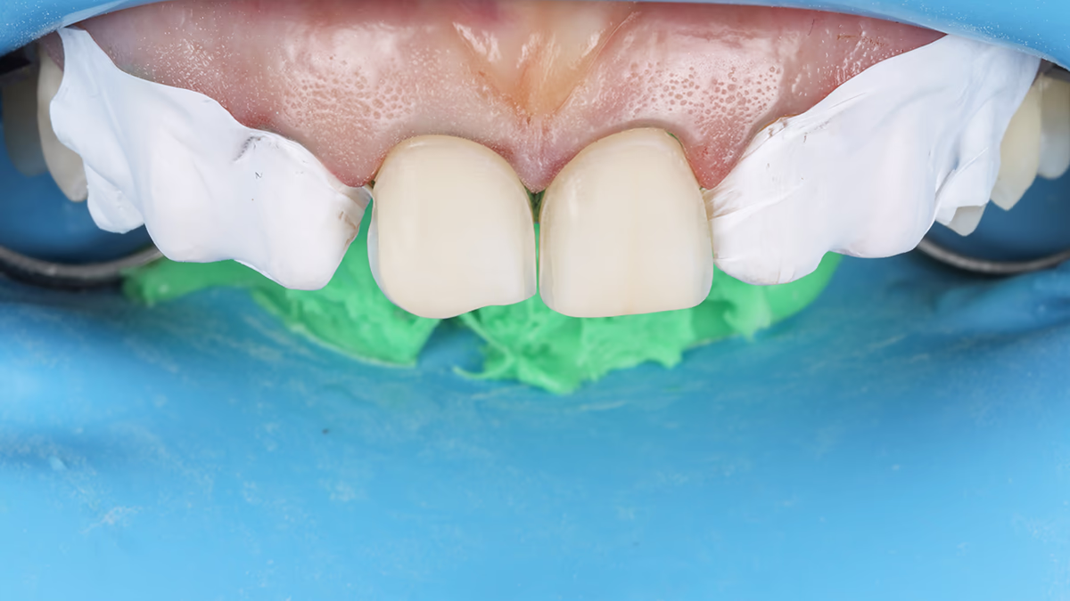
У разі збереження контактних пунктів гарної інтерпроксимальної ретенції досягти неможливо. Перед встановленням силіконового ключа із самотвердіючою пластмасою бісакрил потрібно під готувати вестибулярну поверхню відпрепарова них зубів.
Протравлюємо емаль протягом 15 с (2–3 мм) і наносимо адгезив (не роздмухуємо і не полімеризуємо), далі переносимо макет майбутніх зубів (Моск-Up), тим самим виготовляємо тимчасові реставрації прямим методом. Надлишки пласт маси прибрали через 45–60 с і чекаємо повної полімеризації матеріалу. Після вилучення силіконового шаблону та корекції скальпелем при ясенної зони засвітили кожен зуб фотополімерною лампою по 20 с.




Фінальний візит – фіксація керамічних вінірів. Першим кроком було зняття тимчасових конструкцій та полірування залишків адгезиву і бісакрилу за допомогою Enhance.
Переконавшись у точності прилягання керамічних конструкцій та отримавши згоду пацієнта, розпочали адгезивну фіксацію.
Очищення керамічних реставрацій було зроблено повітряно-абразивним методом – порошком оксиду алюмінію 27 мкм (Kavo Rondoflex). Це ефективний метод очищення поверхні після внутрішньоротової примірки.


Динамічне протравлювання вінірів на рефрак торі плавиковою кислотою 4.5 % протягом 60 с. Експозиція 30 с в етиловому спирті 96 % для очищення від залишків плавикової кислоти.
Силанізація поверхні кераміки для створення внутрішнього зв’язку між реставрацією та фіксуючим матеріалом.
На силанізовану поверхню кераміки було внесено адгезив системи ClearFil SE Bond 2 (Kuraray), експозиція 20 с, потім надлишки прибрані повітрям. Внесення фіксуючого композиту Variolink Esthetic LC.
Для запобігання затвердінню композитного цементу реставрації помістили у помаранчевий світлозахисний бокс.
Під час фіксації керамічних реставрацій операційне поле було ізольоване в техніці split dam.
Після ізоляції зроблено повітряно-абразивну підготовку зубів порошком оксиду алюмінію 27 мкм (Kavo Rondoflex). Навколишні м’які тка нини були захищені інструментом LM Gingiva.


Сусідні зуби заізолювали тефлоном, щоб уникнути потрапляння протравлювального гелю та адгезивної системи.

Динамічне протравлювання емалі протягом 30 с. Адгезивна підготовка здійснювалася системою ClearFil SE Bond 2 (Kuraray). Проведена точкова полімеризація вінірів на зубах протягом 3 с, далі надлишки матеріалу прибрали пензликом, а в апроксимальних контактах – флосом.
Фінальна полімеризація робилася за допомогою Air-Block, щоб уникнути забарвлювання меж зуб – кераміка.
Залишки адгезиву і фіксуючого цементу зрізали скальпелем, а остаточне полірування композитного шва провели повітряно-абразивною методикою за допомогою гліцину Prophyflex Perio Powder (Kavo).

За допомогою мультидисциплінарного підходу (ортодонтичного лікування) нам вдається за класти основу для подальшого успішного протезування.
Корекція прикусу забезпечує рівномірний роз поділ жувального навантаження, що запобігає перевантаженню зубів і продовжує термін служби ортопедичних конструкцій.






Поліпшуючи функціональність та створюючи правильне положення зубів, ми уникаємо агресивного ортопедичного лікування (препарування) та домагаємося природного зовнішнього вигляду майбутніх керамічних реставрацій.
У кожному клінічному випадку варто виважено ухвалювати рішення, залучаючи суміжних фахівців для досягнення найкращих результатів лікування.
Тотальні реабілітації потребують мультидисциплінарного підходу. Участь ортодонта та інших вузькопрофільних спеціалістів у команді – невід’ємна умова для досягнення функціонального, естетичного і довготривалого результату.
Ортодонтичне лікування не лише усуває структурні та функціональні проблеми, але й створює ідеальні умови для подальшого лікування (хірургічного, ортопедичного), забезпечуючи гармонію усмішки і здоров’я пацієнта.