

Досить часто пацієнти після ортодонтичного лікування звертаються до стоматологів із метою покращення естетичного вигляду своєї усмішки. У цій статті розглянуто клінічний випадок відновлення естетики після ортодонтичного лікування шляхом трансформації ікол у латеральні різці, а перших премолярів — у ікла. Досягти гарного естетичного результату можна кількома способами, одним із яких є встановлення керамічних вінірів непрямим методом. Проте яким способом буде досягнуто високого естетичного результату — це вже вибір кожного оператора.

Анамнез.
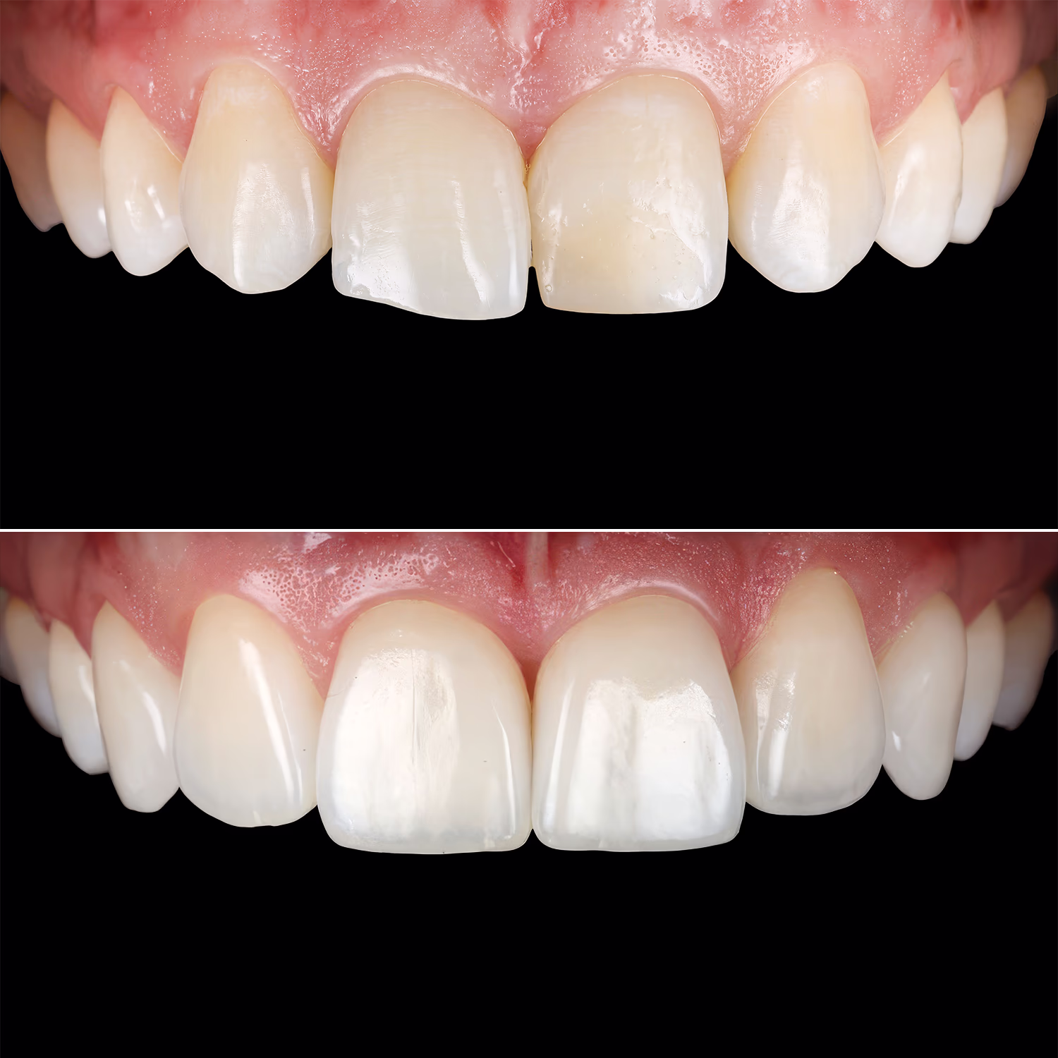
Пацієнт, 29 років, звернувся в клініку з проханням покращити зовнішній вигляд зубів після ортодонтичного лікування.
Об'єктивно.
Після завершення ортодонтичного лікування відсутні верхні латеральні різці 12 і 22. Їхню позицію займають ікла 13 і 23, а на позиції ікол стоять перші премоляри. Зуб 11 має пряму композитну реставрацію.
У цій клінічній ситуації необхідно провести трансформацію ікол у латеральні різці, а перших премолярів — в ікла. Є кілька методів, за допомогою яких можна забезпечити гарний естетичний результат:
Ідеальної техніки чи універсального матеріалу для відновлення не існує. Успіх лікування визначається знаннями та мануальними навичками стоматолога.

Було вирішено виготовити шість керамічних вінірів на рефракторі.
Перший візит пацієнта — діагностичний: зроблено сканування зубів, фото- та відеоаналіз обличчя й усмішки. Стандартним еталоном оцінки є лінія усмішки — уявна лінія, що проходить по краю зубів верхньої щелепи.
Лінія усмішки буває висока, середня і низька. У нашого пацієнта низька лінія усмішки — верхня губа прикриває значну частину зубів, що спрощує роботу. Висока лінія, коли повністю візуалізуються не лише передні зуби, а й ясна, є найскладнішою у виконанні.
Отриману після діагностичного візиту інформацію передали у зуботехнічну лабораторію для виготовлення wax-up (прогноз фінального результату).
Під час другого візиту за допомогою А-силікону віддублювали wax-up з надрукованої моделі, створивши силіконовий ключ для переносу.
Ікло відрізняється від латерального різця величиною - вестибулярний обʼєм іклів більший, ніж у латеральних різців, а також форма ікла характеризується наявністю рвучого горбика. Премоляр від ікла відрізняється також передусім формою, тому потрібно зробити попереднє пришліфовування.
Перед пришліфовуванням слід попередити пацієнта, що цей процес незворотний.
Існує три варіанти пришліфовування:
У цьому випадку виконано вільне пришліфовування, орієнтуючись на проєкт. Попередньо проведено інфільтраційну анестезію.

За допомогою силіконового ключа було перенесено макет майбутніх зубів (mock-up) на пришліфовані зуби.

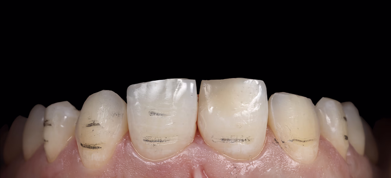
Вестибулярне маркування глибини препарування твердих тканин, а також редукція ріжучого краю провадилися за mock-up маркувальним бором Komet 868B 314 018 (Komet, Німеччина).

Потім mock-up був знятий. На зубах залишилися горизонтальні сліди, позначені олівцем. Зафарбовування вестибулярної поверхні зуба олівцем посилює контраст між препарованими та непрепарованими ділянками зуба і полегшує роботу. Горизонтальні борозни залишаються зафарбованими до моменту досягнення необхідної глибини препарування.

Препарування зубів 11, 13, 14 та 21, 23, 24 робилося діамантовими борами Komet 868 314 012, 8868 314 012, 868 314 016, 8868 314 016. На зубі 11 повністю видалили стару Композитну рестав-рацію. Тому межею препарування є власні тканини зуба.
Редукція ріжучого краю в межах 1 мм дозволяє забезпечити плавний перехід прозорості і досягти оптимального естетичного результату.
Упор, що утворюється при незначному препаруванні ріжучого краю, забезпечує правильне позиціонування вініра під час фіксації.
Препарування зубів провадилося з допомогою операційного мікроскопа. У межах емалі створювали необхідний простір для кераміки на рівні м'яких тканин.

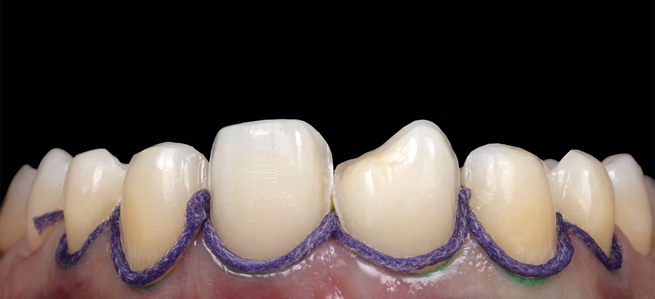
Для передачі меж препарування в лабораторію було обрано хіміко-механічний метод ретракції за допомогою ретракційних ниток.
Перша нитка без просочення Sure-Cord 000 забезпечила вертикальну ретракцію.

Потім встановили другу нитку з просочуванням Sure-Cord 0 (експозиція 5 хв), яка забезпечила горизонтальну ретракцію. Її встановлю-
вали безпосередньо перед зняттям цифрового відбитка.

Для надійної фіксації тимчасових конструкцій зроблені точкове протравлювання емалі та бондинг без попередньої полімеризації.
Наступним етапом було створення тимчасових конструкцій прямим методом і перенесення за допомогою силіконового ключа та самотвердіючої пластмаси Ivoclar Telio CS C&B (Ivoclar). Після вилучення силіконового ключа надлишки пластмаси в приясенній зоні були скориговані полумʼяподібним бором. Далі на зубах з тимчасовими реставраціями було проведено полімеризацію
адгезиву (20 с).

Третій візит пацієнта у клініку - для примірки та фіксації керамічних вінірів.

Першим кроком було зняття тимчасових конструкцій та полірування зубів від залишків адгезиву.
Адекватно адаптовані тимчасові реставрації дозволяють зберегти здорову архітектуру мʼяких тканин навіть за тривалого носіння. Примірка реставрацій на суху поверхню Dry Fit дає можливість проконтролювати точність прилягання конструкцій.

Під час другої примірки в реставрацію внесено Try-In paste Ivoclar відтінку Warm (Ivoclar) для імітації теплого відтінку постійного фіксуючого матеріалу.
Переконавшись, що реставрації задовольняють естетичний запит пацієнта, можна братися до адгезивної фіксації.
Ми зробили ізоляцію за допомогою системи рабердам для контролю сухості операційного поля, що надзвичайно важливо при адгезивній фіксації.
Після цього проведено адгезивну підготовку кераміки:
На силанізовану поверхню кераміки було внесено адгезив системи ClearFil SE Bond 2 (Kuraray), експозиція 20 с, потім видалили розчинник за допомогою повітря. Внесено фіксуючий композит Variolink Esthetic LC відтінку Warm (Ivoclar). Для запобігання затвердінню композитного цементу реставрації помістили у помаранчевий світлозахисний бокс.
Сусідні зуби були захищені тефлоном.
Після ізоляції проведено повітряно-абразивну підготовку емалі порошком оксиду алюмінію 27 мкм.
Мікрошорсткість поверхні, яку отримуємо після обробки оксидом алюмінію 27 мкм, збільшує площу адгезивного зʼєднання. Динамічне протравлювання емалі зубів протягом 30 с. Адгезивна підготовка зуба здійснювалася системою ClearFil SE Bond 2 (Kuraray).
Було зроблено точкову полімеризацію вінірів на зубах протягом 3 с. Далі надлишки фіксуючого матеріалу з вестибулярної поверхні прибрали пензликом. Після цього проконтролювали надлишки цементу в апроксимальних контактах за допомогою флосу.
Для уникнення профарбовування межі зуб — кераміка слід запобігти утворенню шару, інгібованого киснем, за допомогою Air-Block.
Залишки адгезиву та цементу акуратно зрізані скальпелем.







Нам вдалося здійснити успішну реабілітацію пацієнта в естетично значущій зоні. Адентія верхніх латеральних різців — досить поширений діагноз, який завжди потребує індивідуального підходу та врахування клінічних особливостей кожного випадку.
Можна створювати місце під імплантацію верхніх латеральних різців із подальшим протезуванням або ж обрати альтернативний варіант лікування — трансформацію ікол у латеральні різці, а перших премолярів — у ікла.
Ідеальної техніки не існує: кінцевий результат завжди залежить від клінічної ситуації, анатомії пацієнта та майстерності лікаря-стоматолога. У цьому випадку застосована техніка дозволила досягти природного естетичного вигляду усмішки з гармонійними пропорціями зубів і м’яких тканин.