

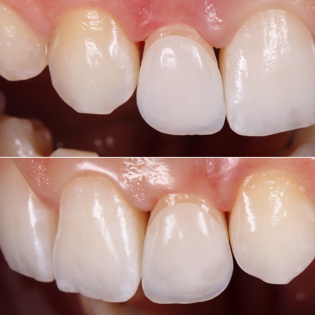
Амнез. Пацієнтка Є., 22 роки, звернулася в клініку з проханням покращити зовнішній вигляд латеральних різців.
Обʼєктивно. Після завершення ортодонтичного лікування з’явилися треми біля зубів 12 і 22. Латеральні різці мають
відносну мікродентію. Зуби нормального розміру, але на тлі центральних різців здаються невеликими.
Варіанти закриття трем біля зубів 12 і 22, а також подовження ріжучого краю:
1. Композитні реставрації free-hand техніка (прямим методом).
2. Композитна реставрація за допомогою під небінного шаблону (прямим методом).
3. Композитні вініри (непрямим способом).
4. Керамічні вініри (непрямим способом).
Ідеальної техніки та матеріалу для відновлення не існує. Результат дуже залежить від знань і мануальних навичок стоматолога.

При реабілітації пацієнтів в естетично важливій зоні слід непомітно інтегрувати реставрації, що є непростим завданням.
У цій клінічній ситуації вирішили виготовити два керамічні вініри.
Метод виготовлення керамічних вінірів – рефрактор.
Підготовка зубів з мінімальним препаруванням емалі під контролем операційного мікроскопа дозволила зробити вініри максимально тонкими. Перевагою установки ультратонких вінірів є їх прозорість, що усуває етап визначення відтінку. Оптичні властивості зуба і колір просвічуватимуться через керамічні рестраврації, стаючи одним цілим і непомітним у ротовій порожнині.
Під час першого візиту пацієнтки було зроблено сканування зубів, фото-відеоаналіз обличчя та усмішки. Інформацію передали до зуботехнічної лабораторії. На підставі всіх даних зуботехнічна лабораторія переходить до реалізації з 2D проєкту в 3D проєкт. При плануванні естетичних втручань дуже важливо спланувати фінальний результат. У цьому допомагає воскове моделювання (wax-up). Це дозволяє лікареві уникнути непорозумінь з пацієнтом. На цьому етапі нова форма і довжина зубів повинні бути схвалені пацієнтом.
Під час другого візиту за допомогою А-силікону віддублювали wax-up із надрукованої моделі, створивши силіконовий ключ для перенесення. За допомогою самотвердіючої пластмаси Ivoclar Telio CS C&B та силіконового ключа на необроблені зуби без протравлювання й адгезиву перенесли макет майбутніх зубів (mоск-up) для за твердження дизайну.
Після схвалення було проведено інфільтраційну анестезію. Препарування зубів 12 і 22 робилося алмазними борами Komet (868314012, 8868314012). Зуби були відпрепаровані в межах емалі у вигляді вікончатого вініра (Type 1 за Паскалем Маньє) без редукції ріжучого краю та ретракції на рівні м’яких тканин. Вестибулярний об’єм зубів задовольняв, мета препарування по лягала у знятті апризматичного шару емалі і створенні необхідного простору для кераміки. Для передачі фінішної лінії до лабораторії було обрано механічний метод ретракції – нитка без просочення (Sure-Cord 000).

Мінімальне препарування в межах емалі та метод виготовлення вініра на рефракторі ставили під сумнів сканування, тому було ухвалено рішення знімати фізичні відбитки А-силіконом.
Мінімальне препарування дозволило не застосовувати жодних десенситайзерів.

Для надійної фіксації тимчасових конструкцій зробили точкове протравлювання емалі і бондинг без попередньої полімеризації. Наступним етапом було створення тимчасових конструкцій прямим методом і перенесення за допомогою силіконового ключа та самотвердіючої пластмаси Ivoclar Telio CS C&B. Після вилучення силіконового ключа надлишки пластмаси на ділянці зрізані скальпелем 12D. Далі на зубах 12 і 22 була про ведена полімеризація адгезиву лампою (20 с).

Третій візит – фіксація керамічних вінірів.
Першим кроком було зняття тимчасових конструкцій та полірування емалі Enhance від залишків адгезиву. Перша примірка на суху по верхню (Dry Fit) – контроль точності прилягання конструкції.

Під час другої примірки в реставрації внесена Try-In paste Ivoclar відтінку Neutral для імітації відтінку постійного фіксуючого матеріалу.
Переконавшись у тому, що реставрація закриває треми та має належні форму, довжину, колір, а також задовольняє естетичні запити пацієнтки, можна братися до адгезивної фіксації.
Ми не проводили ізоляцію за допомогою рабердаму, щоб уникнути зміщення апроксимальних контактів, що могло призвести до поломки керамічних реставрацій під час фіксації, оскільки товщина конструкцій становила 0.2 мм.
Очищення керамічних реставрацій було проведено Ivoclean (Ivoclar), що ефективно очищає по верхню після внутрішньоротової примірки.
Динамічне протравлювання вінірів на рефракторі плавиковою кислотою 4.5 % протягом 60 с.
Експозиція етилового спирту 96 % на поверхні кераміки 30 с для очищення від залишків плавикової кислоти.
Силанізація поверхні кераміки за допомогою Monobond N (Ivoclar) для створення внутрішнього зв’язку між реставрацією та фіксуючим матеріалом.
На силанізовану поверхню кераміки було внесено адгезив системи ClearFil SE Bond 2 (Kuraray), експозиція 20 с, після чого надлишки були прибрані повітрям.
Внесення фіксуючого композиту Variolink Esthetic LC відтінку Neutral.
Для запобігання затвердінню композитного це менту реставрації помістили у помаранчевий світлозахисний бокс.
Фіксація проводилася з ізоляцією OptraGate (Ivoclar), а також сусідні зуби захищені фум-стрічкою. Після ізоляції було проведено повітряно-аб разивну підготовку емалі порошком оксиду алюмінію 27 мкм. Мета цього етапу – очищення і створення мікрошорсткості поверхні для збільшення площі адгезії. Динамічне протравлювання емал зубів 12 та 22 протягом 30 с. Адгезивна підготовка зуба здійснювалася системою ClearFil SE Bond 2 (Kuraray).

Було зроблено точкову полімеризацію вінірів на зубах протягом 3 с, далі надлишки фіксуючого матеріалу з вестибулярної поверхні прибрали пензликом. Контроль надлишків цементу в апроксимальних контактах за допомогою флосу.
Важливим моментом є встановлення режиму Soft-start на полімеризаційній лампі під час оста точної полімеризації. Щоб уникнути забарвлювання інтерфейсу зуб – кераміка, необхідно при брати інгібований шар киснем за допомогою Air Block. Залишки адгезиву та цементу акуратно зрізають скальпелем. Остаточне полірування композитного шва робилося повітряно-абразивною методикою за допомогою насадки Perio Kit та гліцину Prophyflex Perio Powder (Kavo).


Естетичні реабілітації можна робити за допомогою різних методів, що передбачають мінімальне втручання в структуру зуба. Одним із них є виконання керамічної реставрації непрямим методом. Мінімальне препарування при виконанні керамічних вінірів допомогло непомітно інтегрувати реставрації в естетично значущій зоні і тим самим забезпечити стабільний довгострок вий результат.