

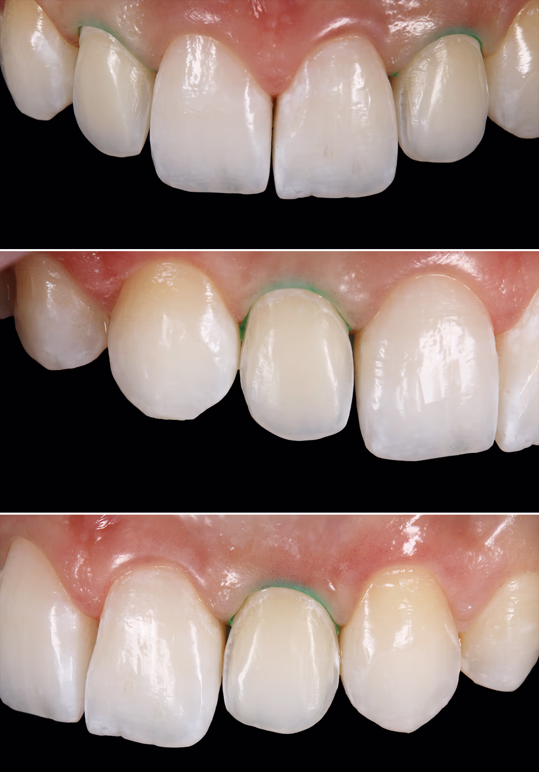
Анамнез. Пациентка Е., 22 года, обратилась в клинику с просьбой улучшить внешний вид латеральных резцов.
Объективно. После завершения ортодонтического лечения на зубах 12 и 22 появились тремы. Латеральные резцы имеют относительную микродентию. Зубы нормального размера, но на фоне центральных резцов кажутся небольшими.
Варианты закрытия трем на зубах 12 и 22, а также удлинения режущего края:
1. Композитные реставрации free-hand техника (прямым методом).
2. Композитная реставрация с помощью неб ного шаблона (прямым методом).
3. Композитные виниры (непрямым способом).
4. Керамические виниры (непрямым способом).
Идеальной техники и материала для восстановления не существует. Результат очень зависит от знаний и мануальных навыков
стоматолога.

При реабилитации пациентов в эстетически важной зоне следует незаметно интегрировать реставрации, что является непростой задачей.
Этапы лечения
В этой клинической ситуации решили изготовить два керамических винира.
Метод изготовления керамических виниров – рефрактор.
Подготовка зубов с минимальным препарированием эмали под контролем операционного микроскопа позволила сделать виниры максимально тонкими. Преимуществом установки ультратонких виниров является их прозрачность, что устраняет этап определения оттенка. Оптические свойства зуба и цвет будут просвечиваться сквозь керамические рестраврации, становясь одним целым и незаметным в полости рта.
Во время первого визита пациентки было сделано сканирование зубов, фото-видеоанализ лица и улыбки. Информацию передали в зуботехническую лабораторию. На основании всех данных зуботехническая лаборатория переходит к реализации из 2D-проекта в 3D-проект. При планировании эстетических вмешательств очень важно спланировать финальный результат. В этом помогает восковое моделирование (wax-up). Это позволяет врачу избежать недоразумений с пациентом. На этом этапе новая форма и длина зубов должны быть одобрены пациентом.
Во время второго визита с помощью А-силико на отдубливали wax-up из напечатанной модели, создав силиконовый ключ для перенесения. С по мощью самотвердеющей пластмассы Ivoclar Telio CS C&B и силиконового ключа на необработанные зубы без протравливания и адгезива пере несли макет будущих зубов (mоск-up) для утверждения дизайна.
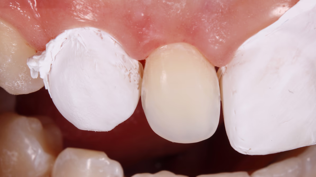
После одобрения была проведена инфильтрационная анестезия. Препарирование зубов 12 и 22 проводилось алмазными борами Komet (868314012, 8868314012). Зубы были отпрепарированы в пределах эмали в виде окончатого винира (Type 1 по Паскалю Манье) без редукции режущего края и ретракции на уровне мягких тканей. Вестибулярный объем зубов удовлетворял, цель препарирования заключалась в снятии апризматического слоя эмали и создании необходимого пространства для керамики. Для передачи финишной линии в лабораторию был выбран механический метод ретракции – нить без пропитки (Sure-Cord 000).

Минимальное препарирование в пределах эмали и метод изготовления винира на рефракторе подвергали сомнению сканирование, поэтому было принято решение снимать физические оттиски А-силиконом.
Минимальное препарирование позволило не использовать никаких десенситайзеров.

Для надежной фиксации временных конструкций сделали точечное протравливание эмали и бондинг без предварительной полимеризации. Следующим этапом было создание временных конструкций прямым методом и перенос с помощью силиконового ключа и самотвердеющей пластмассы Ivoclar Telio CS C&B. После извлечения силиконового ключа излишки пластмассы на участке срезаны скальпелем 12D. Далее на зубах 12 и 22 была проведена полимеризация адгезива лампой (20 с).

Третий визит – фиксация керамических виниров.
Первым шагом было снятие временных конструкций и полировка эмали Enhance от остатков адгези ва. Первая примерка на сухую поверхность (Dry Fit) – контроль точности прилегания конструкции.

Во время второй примерки в реставрацию внесена Try-In paste Ivoclar оттенка Neutral для имитации оттенка постоянного фиксирующего материала. Убедившись в том, что реставрация закрывает тремы и имеет надлежащую форму, дли ну, цвет, а также удовлетворяет эстетические запросы пациентки, можно приступать к адгезивной фиксации.
Мы не проводили изоляцию с помощью раббердама, чтобы избежать смещения апроксимальных контактов, что могло привести к поломке керамических реставраций во время фиксации, поскольку толщина конструкций составляла 0.2 мм.
Очистка керамических реставраций проведена пастой Ivoclean (Ivoclar), она эффективно очищает поверхность после внутриротовой примерки.
Динамическое протравливание виниров на рефракторе плавиковой кислотой 4.5 % в течение 60 с.
Экспозиция этилового спирта 96 % на поверхности керамики 30 с для очистки от остатков пла виковой кислоты.
Силанизация поверхности керамики с помощью Monobond N (Ivoclar) для создания внутренней связи между реставрацией и фиксирующим материалом.
На силанизированную поверхность керамики был внесен адгезив системы ClearFil SE Bond 2 (Kuraray), экспозиция 20 с, после чего излишки были убраны воздухом.
Внесение фиксирующего композита Variolink Esthetic LC оттенка Neutral.
Для предотвращения отвердения композитного цемента реставрации поместили в оранжевый светозащитный бокс.
Фиксация проводилась с изоляцией OptraGate (Ivoclar), а также соседние зубы защищены фум лентой. После изоляции была проведена воздушно-абразивная подготовка эмали порошком окси да алюминия 27 мкм. Цель этого этапа – очистка
и создание микрошероховатости поверхности для увеличения площади адгезии. Динамическое протравливание эмали зубов 12 и 22 в течение 30 с. Адгезивная подготовка зуба проводилась систе мой ClearFil SE Bond 2 (Kuraray).
Была сделана точечная полимеризация вини ров на зубах в течение 3 с, далее излишки фиксирующего материала с вестибулярной поверхности убрали кисточкой. Контроль излишков цемента в апроксимальных контактах с помощью флосса.

Важным моментом является установка режима Soft-start на полимеризационной лампе во время окончательной полимеризации.
Чтобы избежать окрашивания интерфейса зуб – керамика, необходимо убрать ингибированный слой кислородом с помощью Air Block. Остатки адгезива и цемента аккуратно срезают скальпелем.
Окончательная полировка композитного шва проводилась воздушно-абразивной методикой с помощью насадки Perio Kit и глицина Prophyflex Perio Powder (Kavo).


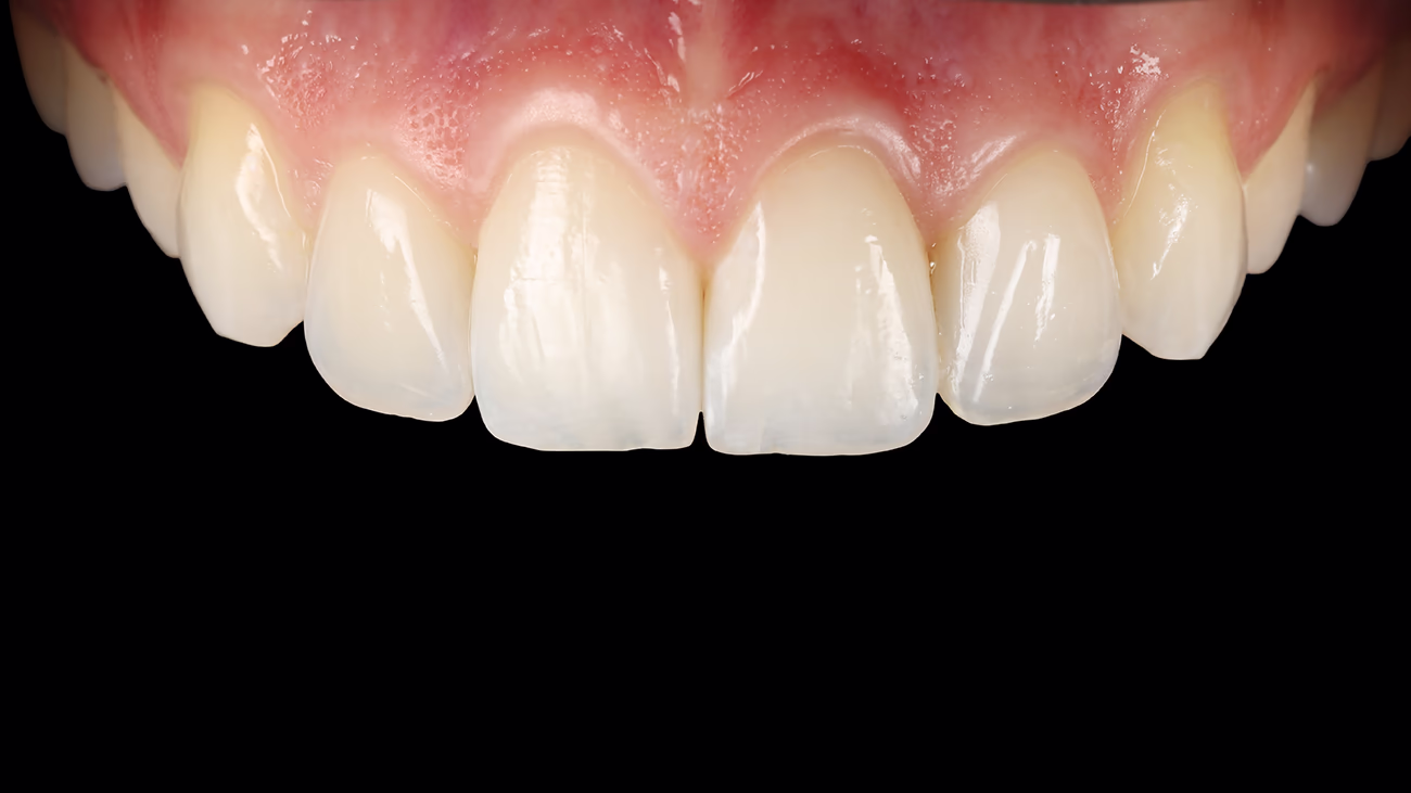
Эстетические реабилитации можно проводить с помощью различных методов, предусматривающих минимальное вмешательство в структуру зуба. Одним из них является выполнение керамической реставрации непрямым методом.